I draft this 800th post from Room 3355 at Florida Hospital South. The quest for solving the puzzle plaguing my right jaw stretches on toward the very end of 2015. After two hospitalizations, six weeks of heavy-duty antibiotics, a CT scan, variations on the themes of pain management, and twenty-nine hbo2 dives to increase blood supply to the affected area, more pieces now fit together to make quite clear the nature of my condition.

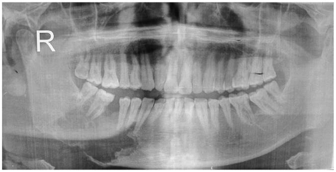
I have what’s called a pathological fracture of the jaw. See the dark gap to the left below the teeth in the image above? Mine’s not that bad fortunately, but it gives you an idea of what’s going on in my mouth. This kind of thing often happens over time to head and neck cancer patients whose treatment protocol included radiation to the tumor bed and surrounding area. The advanced stage of my tongue cancer in 2005 required no less than thirty-nine such blasts. Allow me to quote one doctor who examined me after this morning’s dive. “There is so much damage down there.” To use my own words, my mandible is a shambles. No way it heals on its own, regardless of the number of dives I execute or any other healing strategy doctors might bring to bear on it. This man’s jaw, at least the right lower side, can no longer fight the good fight.

I can’t bite down on it with any considerable pressure at all. My diet consists of liquids and mushy foods. I down a lot of smoothies, oatmeal, yogurt, and the like. Last week I hit my married weight after dropping about twenty pounds. Let’s just say Jesus sees fit in this latest version of the Heffelfinger sanctification strategy to pound away at some of my more significant idols.
What to do? All I want for Christmas is a brand new jaw! Well, a used bone that is harvested from my tibia or hip to shape and insert up there following resection of the diseased portion of the bone. Believe it or not, that’s the easier part of the whole procedure. It takes an entirely different surgical team to perform something called a free flap micro-vascular operation to the jaw for bringing ample blood supply to the area and ensuring tissue coverage of every bit of live bone remaining. Sounds lovely, eh?

No specialist in Orlando does this free flap thing or so I’ve been told. To get this done means seeing a man in Tampa. My doctor here has referred me over that way. We have yet to connect. Why does this stuff always happen to Nancy and me around the holidays? Nobody wants to work the last two weeks of December!
So I really don’t know a whole lot yet about the details of this highly specialized solution to my particularly disabling problem. What I do know is that surgery runs about eight hours, then two days in ICU, and four more days or so in the hospital. Until I consult with the Tampa doc, I have no idea how much PT I might need and/or how long before some degree of jaw-normal returns so I can eat a complete diet once more, resume my pastoral duties, and KISS MY WIFE PROPERLY AGAIN! As those pieces of the puzzle come into play, I will be certain to log in for follow up posts. Needless to say I would like to get this over with sooner rather than later. The Lord knows.
My fellow elders at OGC have graciously granted me medical leave until the first Sunday of the New Year. At that point we will reevaluate. I am thankful for all the servants stepping up to pinch hit for me on all sorts of fronts. As we did in 2005, we have a choice opportunity for the church to be the church, relying on everyone’s gifted contribution to the body’s shalom as opposed to relying inordinately on just one person’s service. Church, reach out to your assigned elder, if you need pastoral care. New people, normally considered “my part of the flock,” please turn to any of the other elders to which you feel led. And of course, all, let’s rely on each other as we do the New Testament “one anothers” and thus build ourselves up in love (Eph. 4:12-16).

Our thanks as well for the terrific handmade cards from last Sunday, the texts, gifts, and outpouring of offers to assist in some way. I appreciate everyone understanding my request for no visitors during my hospital stay. The more I talk, the greater the pain.
A final thought before wrapping up this entry. One evening during my previous hospital stay I watched the movie, “Unbroken.” It’s the true story of Olympic runner Louie Zamperini turned WWII prisoner of war and his heroic journey of perseverance under inconceivably difficult strains. Having thoroughly enjoyed Laura Hillenbrand’s book of the same title, I’ve desired to see the film version for some time. I prefer the book over the film for one particularly significant reason, but that’s an occasion for a separate blog post. Still the Lord used one line in the movie at this especially challenging time in my life to galvanize me in the most personal of ways. It helped prepare me for yet another daunting trial involving my physical well being. The same line turns up twice in the movie’s trailer below.
“If I can take it, I can make it.” Trust me, that’s not how I weathered the cancer storm of ’05. That sentiment did nothing for me in the loss of our son nearly two years ago. Such a notion was worthless to me with Nancy’s cancer diagnosis last December. And it won’t cut it when they open my face, dismember the dead bone, plate and screw a replacement, attach artery to vein in my mouth, close, and rehab me for who knows how long at Tampa General.

But I tell you what grand sentiment and massive promise of God’s word will. “I can do all things through Him [Jesus] who strengthens me” (Phil. 4:13). I’ve waved that banner by God’s grace over every previous Father-filtered hard providence which has shaped my life thus far. I’m not about to resort at this point to the shaky ground of self-reliance. I know all too well that I can’t take it and won’t make it. No thank you very much, I’ll stick with the Lord who puts us in these dilemmas precisely so we won’t rely on ourselves but on Him who raises the dead (2 Cor. 1:9).









For some reason I’ve made it a habit to turn to the Puritans first thing each morning this year in my abiding in Christ time.