OPERATION ROBOJAW COMPLETE

A Survey of My Unimaginable Journey

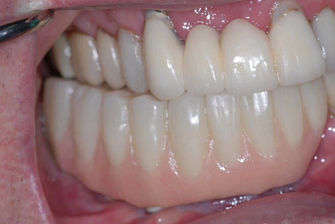
New Teeth

I’ve waited a long time to log this post. It required an image of my nine-teeth-brand-new-bridge in place before writing.

What a beauty!

The sheer joy of biting down on a sandwich again. The exquisite pleasure of chewing on the right side of my mouth again for the first time in years.

It has been three years to be precise.

My jaw started to fail in May of 2015. An implant inserted to replace a failed root canal dislodged over breakfast one morning. Little did I know what dominoes would fall from there.

My PCP, fearing a recurrence of oral cancer, sent me to a local oral surgeon. He hit me with a diagnosis I never heard of before–osteoradionecrosis–bone death by radiation.

They fried my jaw back in 2005 to save my life. I’ll live with the tradeoff. Pun intended.

After hospitalization for excruciating pain in December of 2015, a CT scan revealed a pathological fracture of the right mandible. I would need a jaw transplant. Gulp.

Fortunately for me the main man for this kind of herculean undertaking works for UHealth in Miami–Dr. Robert Marx. What a gifted, skillful healer.

We got to be buds over the next two years. Talk about someone who knows you inside and out.

February 2016. Eight hours on the table to remove half my jaw and insert a titanium implant. No fun at all.

A total of 45 hyperbaric dives before and after that procedure ensured needed wound care. No fun at all.

November 2016. Six hours on the table for bone graft surgery to rebuild the mandible in preparation for teeth. They wired my jaw shut for three weeks while the graft hardened. No fun at all.

March 2017. Two plus hours on the table for a hip debridement procedure. Inflammation caused the wound from the last surgery to open. Nothing else could close the incision.

That procedure occurred two weeks before my wedding to Jan Leslie. No fun at all. Not the wedding and honeymoon, of course–sutures in the hip notwithstanding.

August 2017. Another couple of hours on the table at Jackson South to sink four implants in the rebuilt jaw. Four more teeth were extracted. No fun at all.

February 2018. Two more hours in surgery at my Miami home away from home to expose jaw tissue for placing healing abutments on the implants. A nightmare splint held them in place for three miserable weeks. No fun at all.

March through July 2018. Several trips to team Tiralossi/Pileggi dental reached the finish line of this marathon.

After wearing a temporary bridge for several weeks, the final product pictured above got screwed in place. No fun at all–except that it is finished.

Lessons I’ve been learning? Among them . . .

One, life in Jesus is a perpetual test of faith (Heb.11:6). God’s promises sustain through trials from start to finish (2 Pet. 1:3-4).

Two, suffering of any kind promotes humility and dependence upon God’s care for persevering over time and awaited outcomes (1 Pet. 5:6-7).

Three, the help of others at strategic points along the way eases the burden and lifts the spirit (1 Sam. 14:7-14).

Nancy, Jan, Chuck, Rob, Ryan, Ross, Dan, OGC, my family, my doctors, dentists, surgeons, nurses, et al carried my armor up the mountain to slay my personal Philistine.

I am forever grateful.

Four, I am learning–always learning–to run with endurance the race set before me looking to Jesus who alone sustains and empowers us to the finish line (Heb. 12:2).

Question: What lessons has God taught you through a challenging season of life?

4 thoughts on “OPERATION ROBOJAW COMPLETE

  1. Hallelujah for your new teeth and completion of that chapter of your life! Great news. Blessings Patty for Dennis too

    >

  2. Pingback: MY 2018 JOURNEY «

  3. Pingback: TEETH TROUBLE TIMES «

  4. Pingback: PASTOR AND WIFE BEGIN NEW SEASON «

Leave a comment